Separation Anxiety?
How To Minimize File Separation In Endodontic Therapy.

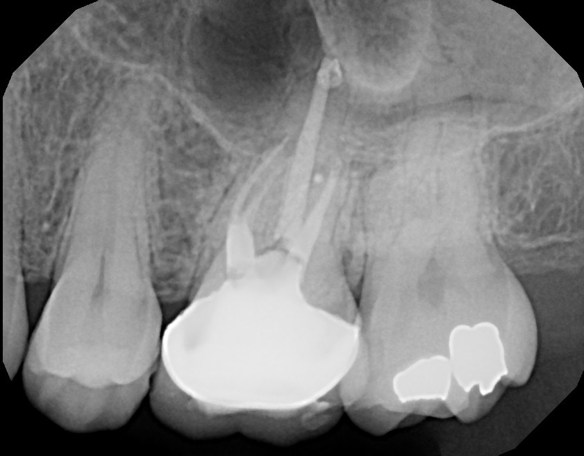
Previous root canal with separated file in the MB root on tooth #14. Patient was then referred to an endodontist.

Tooth #14 completed showing file removed and MB and MB2 obturated.
“The 8 Golden Keys” To Minimize File Separation.
1) Assess Case Complexity
If a case has severe root curvatures or if you see a canal then it disappears in the middle or apical 1/3 then it will be a challenge. There is probably a bifurcation. Pick the best rotary file for the job after using handfiles to the working length.
2) Provide Adequate Access
Straight line access and coronal flaring is very important. It take unnecessary stress off the file. In addition, the “crown down” method is more efficient than the “step back” . In other words, the rotaries are used from larger to smaller sizes in the “crown down” method. This allows for better irrigation and less binding of the files. (3)
3) Glide Path
Adequate glide path to the apex is critical before even picking up a nickel titanium rotary file. Recommend a hand file at the apex to at least a size #15 prior to rotary use.
4) Light Pressure
Use light touch and torque control motor. Various files cause for different speeds and torque settings. Refer to the manufactures instructions. The pressure I recommend is to hold the rotary hand piece like you would hold a very sharp #2 pencil trying not to break the lead tip while writing.
5) Don’t Start Then Stop
Sudden changes in the motion of the file while inside the canal can create unwanted forces on the file. A smooth gentle motion should be used while inserting and withdrawing the file inside the canals. I like to use the 5 second rule. I work a canal with a NiTi file for five seconds or strokes then change to a different file.
6) Lubricate Well
The canals should be lubricated at all times while cleaning and shaping. Recommend use of sodium hypochlorite in addition to RCPrep (Premier) or Gylde (Dentsply Tulsa). These agents will create less friction on the files while cleaning and shaping the canals. (4)
7) Check Rotary Files
It is important to evaluate each rotary file before placing it into the canals. Look for shiny spots or flattened areas. If you see any of these replace immediately. Thermal sterilization does not affect fatigue life of the files. (5)
8) Replace Rotary Files
Most manufactures recommend rotary files to be single use. However, there are some cases in which the file may not contact any dentin or very little. In these cases, it should be ok to re-use the file. My golden rule regardless is “Three Strikes” and you are “Out”!
What is the perfect rotary file?
So you might ask, what is the perfect rotary file for every single case? Well the answer is there is no perfect rotary file but there are some better than others. Many lecturers and manufacturers are always trying to work on and sell the “one file that fits all”. This is really an impossibility like. Why? It’s because ALL canals are different! The file should not dictate the canal shape. It’s the canal shape that should dictate the file type and the taper.
For instance, if you have a severely calcified canal, it does not make sense to pull out a .06 taper file. This will remove unnecessary dentin which can weaken the root or create a vertical root fracture. In addition, it can also cause a file separation especially if the root is curved. If the canal is very calcified or have a severe curvature, an .04 taper should be used.

Tooth #31 with a very curved and calcified root canal system with limited access.

Tooth #31 cleaned and shaped with Edge File X7 .04 taper.
Choosing the Proper Rotary File
I’ve used many types of nickel-titanium rotary files in my over 17 years of practice. Some were very good at the time and some were not. However, now Edge Endo has developed some very unique files. One of my favorite files from Edge Endo is the Edge File X7 Universal .04 taper.
It’s strong, flexible, and economical.
These files can be pre-curved to get into difficult and limited access areas. Once they are inside the canal, they follow the canal in a very smooth and silky way. They are also very durable due to their specialized heat treatment process of the nickel titanium.
In conclusion, root canal preparation with NiTi rotaries are very safe and effective. However, you must choose the proper rotary file for the case. It demands understanding the root canal anatomy and the usage principles of the select rotary system. Not just every tooth, but every canal should be evaluation on its own merit regarding length, width, curvature, and apical diameter. NiTi rotary usage also requires training and proper CE courses. Following the guidelines above will help the clinician avoid “Separation Anxiety” as related to endodontic therapy.
References
1) Spili P, Parashos P, Messer HH. The impact of instrument fracture on outcome of endodontic treatment. J Endod 2005; 31: 845−850.
2) Peters OA. Current challenges and concepts in the preparation of root canal systems A review. J Endod 2004; 30:559-97.
3) Leeb J. Canal orifice enlargement as related to biomechanical preparation. J Endod 1983;9: 463-70.
4) Bossler C, Peters OA et al. Impact of lubricant parameter on rotary instrument torque and force. J Endod 2007; 33:280-3.
5) Bergmans, Lars, et al. “Mechanical root canal preparation with NiTi rotary instruments: rationale, performance and safety.” Am J Dent 14.5 (2001): 324-33.



