Switched to Edge Endo! I’m a Believer! WaveOne® and Edge Comparison
Introduction
I’m always trying to find ways to improve my technique and at the beginning of the year, I started to use the Wave One® (W1) files that made my endo much more efficient. It was a simple and the files cut great and fast. The taper was a little aggressive but the one file system has worked for me. Guttacore® (GC) has also been great.
My new associate gig does not use any rotary endo. Thus all materials that I use, I buy myself. Sucks but I can’t go back to hand filing (so 1980’s!!). You can imagine that the W1 and GC prices can add up on an associate’s pay.
I recently did a trial order with Edge to see what all the fuss was about. I’m glad I did. Below is just a quick comparison and a few cases that I’ve finished up using the Edge files and Edge-Core.
The W1 equivalent is the X1 file and that is what I ordered. I am using the Promark endo motor and Guttacore oven.
The W1 files actually have a plastic portion that expands upon autoclaving and prevents you from re-inserting it into your handpiece. The Edge file does not. Everyone has their own philosophies when it comes to re-using rotaries. For me, all files are used once then trashed.
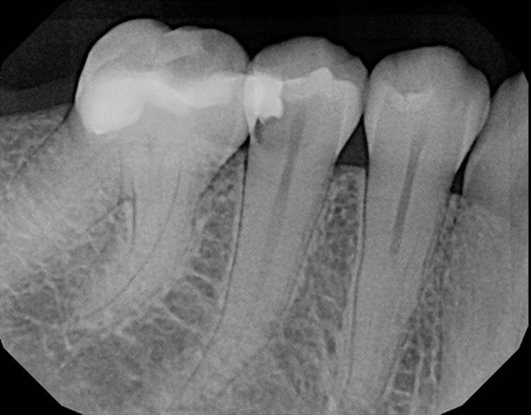
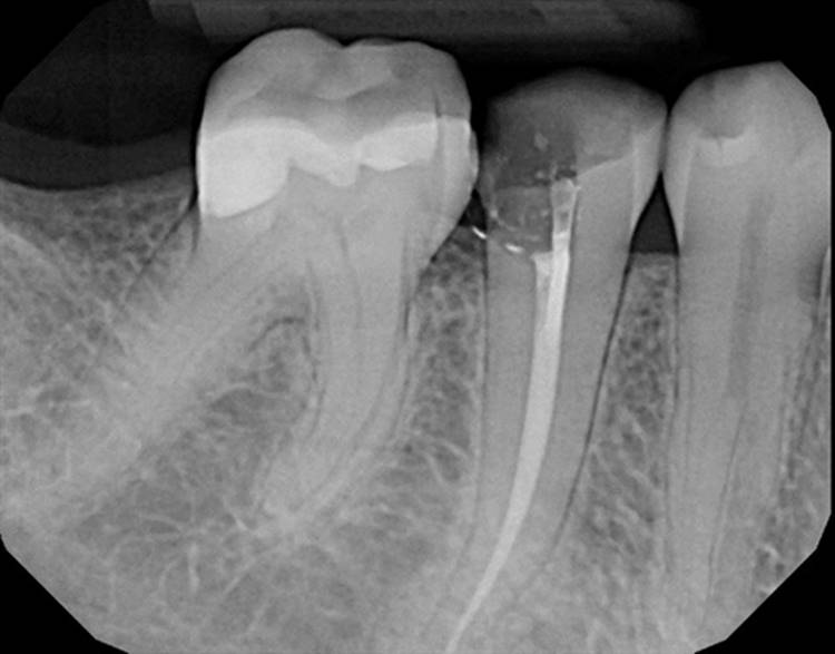
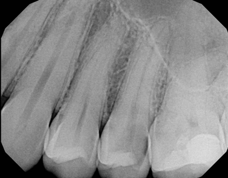
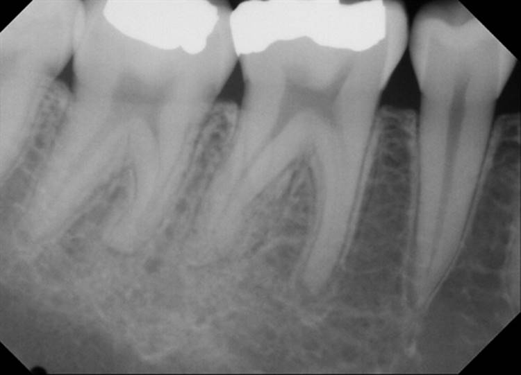
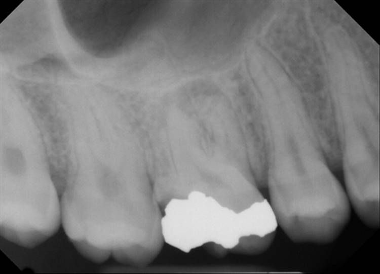
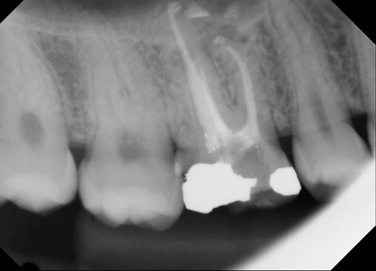
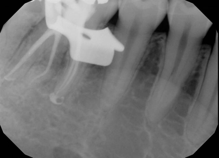
Forgive the sensor change from the first two cases to the last two. The good sensor broke and the back up isn’t as great.
EdgeFile®




WaveOne®


Obturators

One note: if you’re going to use the X1 edge files, order the X7 edgecore obturators. The X1 Obturators have a .08 taper to be used with the W1 files. They will not seat completely if you’re using the X1 edge files.
EdgeFile® Cases








Conclusion:
All in all there hasn’t been any loss in efficiency with the Edge files coming from the W1. However, it’s been a lot better on my wallet since I have to buy my own stuff. Check it out! Edge hasn’t disappointed me yet!

